Версия для людей с ограничением по зрению
8 (800) 200-57-15
г. Обнинск, пр. Ленина, д. 84А
г. Обнинск, ул. Белкинская, д. 44
с 8:30 до 19:30. ВС — выходной
перерыв с 13:30 до 14:30
+7 (900) 573-50-50
8 (484) 392-50-50
gemchug@bk.ru
Услуги
Имплантация
Системы имплантации
Костная пластика
Этапы имплантации
Хирургический шаблон
Имплантация все-на-четырех
Имплантация все-на-шести
Протезирование
Зубные коронки
Зубные протезы
Протезирование на имплантах
Виниры
Лечение зубов
Лечение кариеса
Лечение осложнений кариеса
Лечение под микроскопом
Эстетическая реставрация
Пародонтология
Фотодинамическая терапия
Гиалуроновая кислота
Профессиональная гигиена
Отбеливание зубов
Хирургическая стоматология
Удаление зубов
Пластика уздечки
Лазерная хирургия
Ортодонтия
Сплинт-терапия
Брекет-системы
Элайнеры
Рентгенография
Прицельный снимок
Ортопантомограмма
КЛКТ
ТРГ
Гнатология
Детский Жемчуг (ул. Гагарина, д. 7)
Жемчуг (пр. Ленина, д. 84а)
Цифровой Жемчуг (ул. Белкинская, д. 44)
Цены
Врачи
Отзывы
Видео
Документы
Фото работ
О центре
Вакансии
Вопросы и ответы
График работы врачей
ДМС
Информация о медицинской помощи
Информация правовая
Лицензия
Наши преимущества
Новости
Ординатура
Руководство
Форма для подачи электронного обращения
Фотогалерея Жемчуга
Фотогалерея Цифрового Жемчуга
Журнал
Контакты
ОБРАТНЫЙ ЗВОНОК
Фото работ
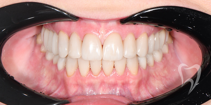
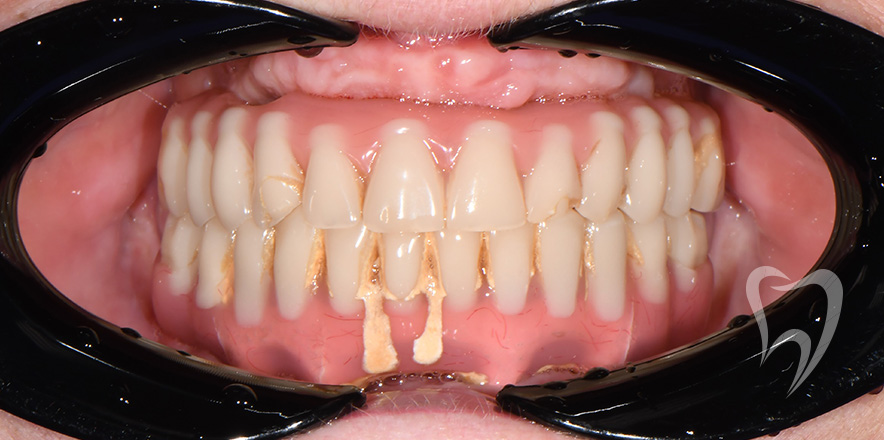
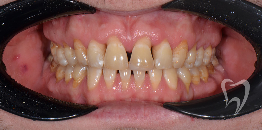
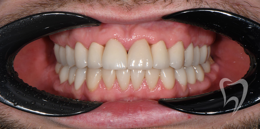
Циркониевые реставрации на верхней и нижней челюстях с опорой на зубы и на имплантаты
Врач: Козлов Илья Михайлович
Read more
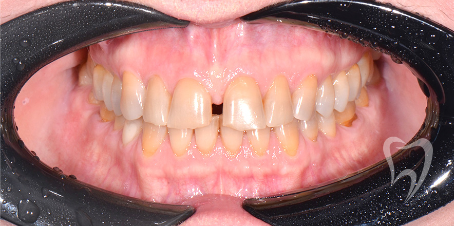
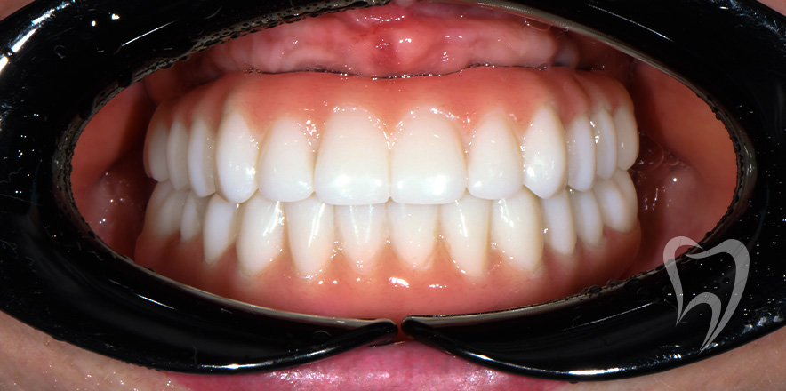
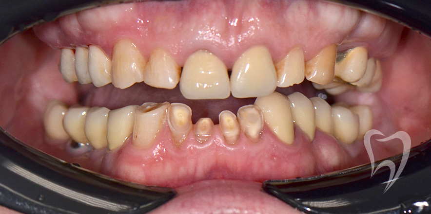
Керамические реставрации
Врач: Козлов Илья Михайлович
Read more
Комплексная реабилитация пациента керамическими реставрациями с дисфункцией ВНЧС
Врач: Козлов Илья Михайлович
Read more
Комплексная реабилитация пациента керамическими реставрациями с дисфункцией ВНЧС
Врач: Козлов Илья Михайлович
Read more
Комплексная реабилитация пациента керамическими реставрациями с дисфункцией ВНЧС
Врач: Козлов Илья Михайлович
Read more
Несъемные протезы с опорой на имплантаты на верхней и нижней челюстях
Врач: Козлов Илья Михайлович
Read more
Комплексная реабилитация пациента керамическими реставрациями с дисфункцией ВНЧС
Врач: Козлов Илья Михайлович
Read more
Замена старых акриловых протезов на новые с опорой на имплантаты
Врач: Козлов Илья Михайлович
Read more
Керамические реставрации на верхней челюсти и несъемный протез с опорой на имплантаты на нижней челюсти
Врач: Козлов Илья Михайлович
Read more
Керамические реставрации
Врач: Козлов Илья Михайлович
Read more
Функциональная и эстетическая работа керамическими реставрациями с дисфункцией ВНЧС
Врач: Козлов Илья Михайлович
Read more
Комбинированная работа: несъемный протез с опорой на имплантаты на нижней челюсти и полный съемный пластиночный протез на верхней челюсти
Врач: Козлов Илья Михайлович
Read more
Тотальная работа с опорой на 6 имплантатов на верхней и нижней челюстях
Врач: Козлов Илья Михайлович
Read more
Эстетическая реабилитация пациента керамическими винирами и коронками
Врач: Козлов Илья Михайлович
Read more
Функциональная и эстетическая реабилитация с помощью протезирования на четырех имплантатах (протокол работы All-on-4)
Врач: Козлов Илья Михайлович
Read more
Восстановление улыбки керамическими реставрациями
Врач: Козлов Илья Михайлович
Read more
Функциональная и эстетическая реабилитация пациента с установкой имплантатов по методике All-on-4
Врач: Козлов Илья Михайлович
Read more
Тотальная реабилитация пациента с установкой имплантатов по методике All-on-6
Врач: Козлов Илья Михайлович
Read more
Эстетическая реставрация керамическими Емах винирами
Врач: Козлов Илья Михайлович
Read more
Эстетическая реставрация керамическими Емах винирами
Врач: Козлов Илья Михайлович
Read more
Эстетическая и функциональная реабилитация пациента при помощи керамических Емах виниров и коронок
Врач: Козлов Илья Михайлович
Read more
Восстановление зубов керамическими реставрациями
Врач: Козлов Илья Михайлович
Read more
Тотальная реабилитация пациента с применением циркониевых коронок и бюгельных протезов
Врач: Козлов Илья Михайлович
Read more
Тотальная реабилитация верхнего зубного ряда с применением имплантатов и коронок
Врач: Козлов Илья Михайлович
Read more
Восстановление зуба циркониевой коронкой
Врач: Козлов Илья Михайлович
Read more
Восстановление переднего отдела эстетическими коронками и винирами
Врач: Козлов Илья Михайлович
Read more
Восстановление переднего отдела эстетическими коронками и винирами
Врач: Козлов Илья Михайлович
Read more
Лечение кариеса
Врач: Рисова Екатерина Николаевна
Read more
Лечение кариеса
Врач: Рисова Екатерина Николаевна
Read more
Лечение кариеса
Врач: Рисова Екатерина Николаевна
Read more
Профгигиена полости рта
Врач: Березникова Анастасия Александровна
Read more
Профгигиена полости рта
Врач: Березникова Анастасия Александровна
Read more
Меню
Мы используем cookie. Это позволяет нам анализировать взаимодействие посетителей с сайтом и делать его лучше. Продолжая пользоваться сайтом, вы соглашаетесь с использованием файлов cookie.
Политика конфиденциальности
Ok